Facetas Cerâmicas

Sobre o tratamento
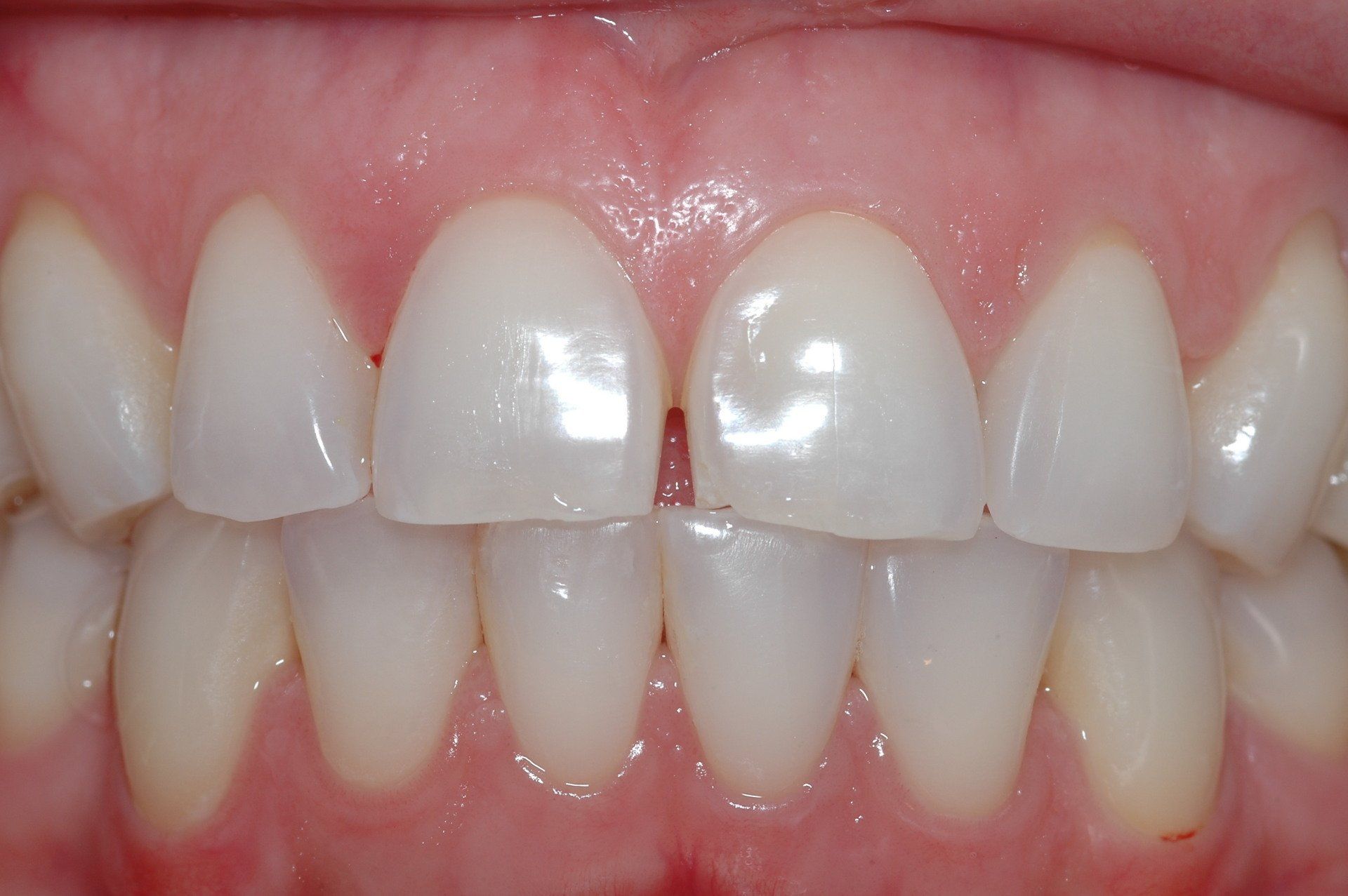
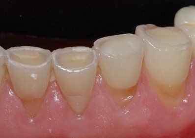
As Facetas Cerâmica, também conhecidas como lentes de contato dental, é um revestimento de cerâmica colada nos dentes, com o objetivo de branquear os dentes e corrigir a estética.
Além de recuperar sua autoestima, o tratamento é completamente indolor e as lentes são duráveis e resistentes, suportando por mais tempo.
As imagens apresentadas são apenas ilustrativas do que pode ser conseguido com alguns tratamentos odontológicos, não demonstrando garantia de resultados. Cada situação particular exige diagnóstico e planejamento adequados e individualizados.
Conheça o nosso espaço
Cuidadosamente projetado para assegurar qualidade e segurança nos tratamentos, nosso espaço está localizado em uma região nobre de Belo Horizonte, no bairro das Mangabeiras. Estamos sediados no complexo do Grupo Odontológico Mangabeiras (GOM).
O espaço conta com serviço gratuito de manobrista, elevador para pacientes com necessidades especiais e com serviço de radiologia digital no mesmo complexo.


