Traumatismo Dental (urgência)

Sobre o tratamento
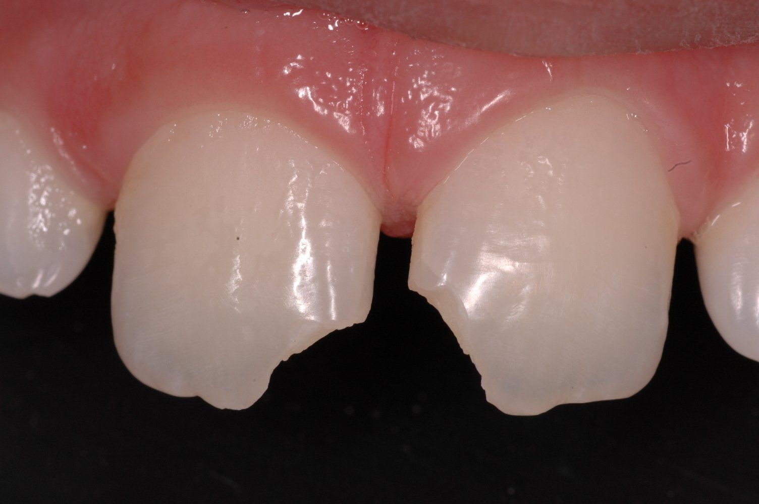
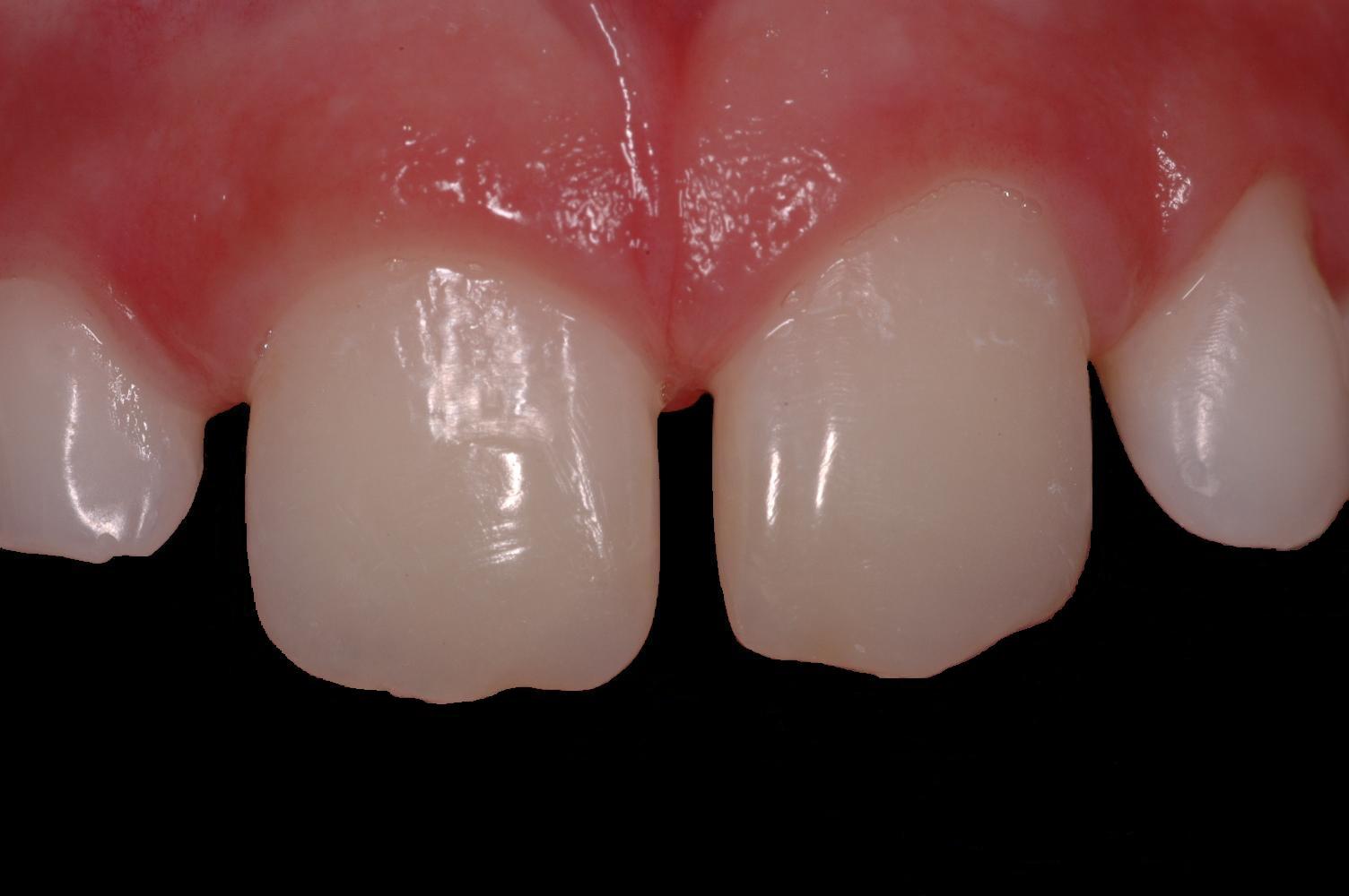
Os Traumatismos Dentais são acidentes causados por quedas, colisões ou até por maus tratos dos dentes. O impacto atinge o tecido dental e pode ocorrer quebras ou até a perda dos dentes.
Na clínica oferecemos todo o suporte e tratamento necessário, com acolhimento e excelência para tratar do trauma.
As imagens apresentadas são apenas ilustrativas do que pode ser conseguido com alguns tratamentos odontológicos, não demonstrando garantia de resultados. Cada situação particular exige diagnóstico e planejamento adequados e individualizados.
Conheça o nosso espaço
Cuidadosamente projetado para assegurar qualidade e segurança nos tratamentos, nosso espaço está localizado em uma região nobre de Belo Horizonte, no bairro das Mangabeiras. Estamos sediados no complexo do Grupo Odontológico Mangabeiras (GOM).
O espaço conta com serviço gratuito de manobrista, elevador para pacientes com necessidades especiais e com serviço de radiologia digital no mesmo complexo.